葡萄膜也叫色素膜,由于形似紫色的葡萄而得名,位于我們眼球壁的中間層。葡萄膜包括虹膜、睫狀體、脈絡膜三部分組織,葡萄膜炎就是這三部分組織炎癥的總稱,分為三種類型:前葡萄膜炎、后葡萄膜炎、全葡萄膜炎。
了解葡萄膜炎的人并不多,很多情況下,葡萄膜炎常常被人忽視,或者當成是其它眼睛問題。比如:
一、被當成“紅眼病”的前葡萄膜炎
前葡萄膜炎可分為慢性跟急性,慢性葡萄膜炎發病緩慢,多無明顯癥狀;而急性葡萄膜炎發病時則有明顯的癥狀,患者常表現為視力下降、眼紅、眼疼、怕光和流淚等。這些癥狀與“紅眼病”有些相似,大部分人在出現這些癥狀時常常誤以為是“紅眼病”。

(葡萄膜炎)
不同的是,“紅眼癥”一般指的是急性結膜炎,大多數急性結膜炎并不會引起嚴重的并發癥。但是前葡萄膜炎就不一樣了,它很可能會引起一些不容忽視的并發癥:
1.并發性白內障
白內障是前葡萄膜炎的常見并發癥之一,多數由于房水的性質改變、晶狀體囊膜通透性改變等引致。并發性白內障發生混濁的部份多數位于晶狀體的后面,而前葡萄膜炎時長期點用類固醇藥物,也可以引起類似的病癥。
2. 繼發性青光眼
前葡萄膜炎可因炎癥細胞、滲出以及組織碎片阻塞房水的排出通道,或者是因瞳孔被封閉而阻斷了房水的正常循環,引起繼發性的眼壓升高,引起青光眼,破壞視神經細胞,造成不可逆轉的視力損失。

3. 眼球萎縮
炎癥的反復發作或炎癥的慢性化可導致睫狀體的脫離或萎縮,從而使得房水分泌減少引起眼壓下降,嚴重者有機會導致眼球萎縮。
二、會出現飛蚊癥的后、全葡萄膜炎易致盲
不同于前葡萄膜炎,后、全葡萄膜炎患者除了出現視力下降,還常見視功能紊亂,眼前閃光或漂浮物(飛蚊),視野缺損等癥狀。
這兩種葡萄膜炎導致患者視力被影響的程度需要取決于病變的部位和玻璃體混濁的輕重,一般而言,炎癥影響周邊玻璃體和視網膜時,病人主要病征是眼前閃光或漂浮物,視力影響多不嚴重。而炎癥若影響黃斑區域或視神經,將造成視野中央出現暗點,或者視野缺損。
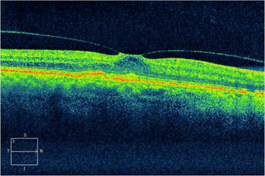
當葡萄膜炎影響到黃斑區域或視神經時,則可能會出現黃斑前膜、黃斑及視神經水腫、視神經炎、視網膜下新生血管等容易對視力容易致盲的并發癥。

(OCT檢查顯示眼睛的黃斑前膜,纖維膜在黃斑表面產生牽拉的力量,可引致黃斑水腫或裂孔,引致視野中央出現暗點)
不管是哪種類型的葡萄膜炎,在出現相關病癥或者疑似病癥都應及早到醫院就診。特別是后葡萄膜炎和全葡萄膜炎的病因復雜,類型繁多,很多可能與免疫及風濕疾病有關聯,因此診斷及治療都需要格外小心謹慎,建議患者應選擇專業的醫院就診。
上海眼科醫院設立葡萄膜炎特需專科,針對葡萄膜炎治療,我院醫生認為應該考慮全身性因素,對于感染引起的疾病,相應給與抗感染治療。對于非感染引起的,我們將采取推薦的階梯式治療方案。 》》》立即咨詢客服